Galeria

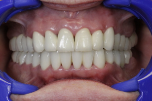
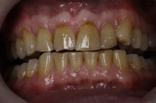
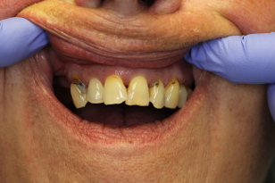
Coroas de Zircônia – Arcus Digma II

Homem de 42 anos
8+5 dias
Zircônia
Coroas superiores/inferiores com Arcus Digma II

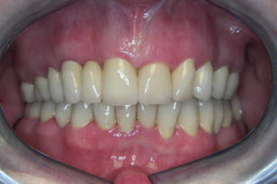
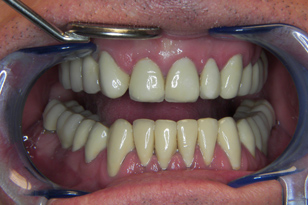
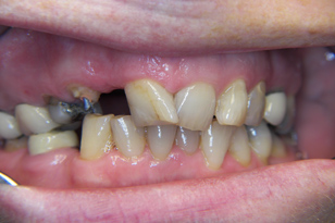
Coroas E.max

 
Homem de 23 anos
5 dias
E.max
Coroas do dente superior esquerdo 2 ao superior direito 2

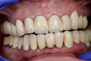
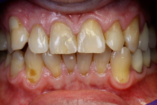
Ponte de Zircônia – Arcus Digma II

Mulher de 64 anos
8+5 dias
Zircônia
Coroas e pontes superiores/inferiores com Arcus Digma II

Tor Norrmann

Ponte circular completa superior e inferior em porcelana fundida ao metal

Svein Maroy

Ponte circular completa superior e inferior em porcelana fundida ao metal

Roger Bakk

Prótese superior com localizadores, combinação inferior em zircônia

Roald Van Nieuwenhuyse

Ponte circular completa superior em zircônia,
Frente inferior em zircônia e laterais em porcelana fundida ao metal

Mikhail Chertok

Ponte circular completa superior e inferior em porcelana fundida ao metal

Lotte Nygaard

Combinação superior em zircônia,
Laterais inferiores em porcelana fundida ao metal sobre implantes

John Marius Iversen

Ponte circular completa superior e inferior em zircônia com implantes

Inge Blatter

Ponte circular completa superior e inferior em zircônia

Imelda Fitzgerald

Ponte circular completa superior em porcelana fundida ao metal,
Ponte frontal inferior

 

David Clark

Ponte circular completa superior e inferior em zircônia com implantes

Christine Milton

Combinação inferior em porcelana fundida ao metal,
Ponte circular completa superior

 

Berit Michelsen

Ponte circular completa superior e inferior em zircônia

Declain Herbert

Homem de 35 anos
Superior: ponte de zircônia de 5 unidades
Inferior: ponte de porcelana fundida ao metal de 8 unidades
5+2 dias úteis
Garantia de 5 anos

Zircônia

Paciente do sexo feminino
Novembro/Dezembro de 2012
Coroas e pontes em zircônia

E.max

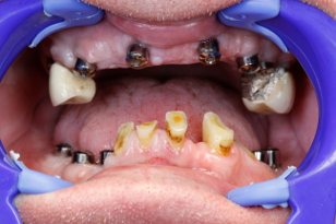
Paciente do sexo masculino
Extrações e prótese provisória em dezembro de 2011
Implantes Alpha Bio e levantamento de seio maxilar em maio de 2012
Coroas de porcelana e.max superiores com porcelana fundida ao metal na parte posterior em novembro/dezembro de 2012
Coroas de porcelana e.max inferiores com porcelana fundida ao metal na parte posterior
A foto foi tirada pouco antes do início da fase final, com os implantes já posicionados (algumas tampas de cicatrização visíveis)

E.max

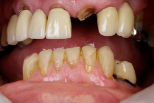
Mulher de 55 anos
Incisivos quebrados, irregulares/tortos e muito restaurados
Coroas e.max nos dentes 12 a 22
5 dias úteis

Trabalho combinado

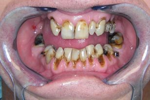
Homem, 66 anos
Trabalho combinado superior e inferior, pontes de porcelana fundida ao metal com prótese removível
Coroa de porcelana fundida ao metal: 265 EUR
Anexos de precisão: 350 EUR
Prótese removível parcial fundida: 600 EUR
8+5 dias úteis

Dr. Péter Magos, General Practitioner

Education:

1992: Vienna Medical University (Pre-Clinical Studies)
1994: Semmelweis University, Faculty of Dentistry
1996: Dental and Oral Diseases Specialisation Exam
2008: Examination in Conservative Dentistry and Prosthodontics
2011: Arcus Digma
Ongoing: Regular annual further training courses
Speciality: Cosmetic Dentistry, Implantology

Languages: German, English

“When I can positively impact a person’s self-esteem and life by allowing them to laugh with confidence again, that’s what brings me a sense of accomplishment and satisfaction in my work. That’s why it’s worth it for me to work towards this every day.”

Dr. Lajos Patonay, Oral Surgeon and Implantologist

Education:

1989: Semmelweis University, General Medical Faculty
1994: Semmelweis University, Faculty of Dentistry
1999: Dento-alveolar Surgery Specialisation Exam
2012: Maxillofacial Surgery Specialisation Exam
Ongoing: Regular annual further training courses
Speciality: Dento-alveolar Surgery, Implantology

Languages: English, German

“In addition to my daily oral surgery and dental engagements, I participate in various research projects at the Semmelweis University’s Department of Anatomy, Histology and Embryology in the Applied and Clinical Anatomy Laboratory, which focus on developing surgical solutions related to the human body.”

Keve Horváth

Keve Horváth joined our team of dental technicians. He works in the Ceramic Department as a master ceramist. After he graduated in 1994, he furthered his knowledge from several symposiums in Hungary, Germany and Belgium (for example Noritake and Ivoclar). In 2006 he held a course „Esthetic Front” with a real patient presence, which is a special event in Hungary and also in Europe.

Dr Ádám Bíró, Endodontist

Education:

2011: Semmelweis University, Faculty of Dentistry
2014: Specialisation in Conservative Dentistry and Prosthodontics
Regular participant in domestic and international conferences
Speciality: Endodontics

Languages: English

“Gastronomy plays an essential role in my life. I regularly experiment with new recipes, dabbling with various spices and techniques to craft exciting and tasty dishes. I also have a passion for exploring new places and immersing myself in diverse cultures. For me, travelling is about broadening my horizons and collecting
memories and experiences from around the world. I am always eager for new adventures and the thrill of discovering the unknown.”

János Rendetzky, Master Ceramist

János is Leader of the Ceramic Department where all Porcelain Fused to Metal Crowns, Full Porcelain Crowns, Veneers and Inlays are skillfully crafted. Furthermore, he is one of the few exclusive demonstrators in Europe of the German company Vita which produces the best quality dental porcelain in the world.

Dr. Bernard Tóth, Oral Surgeon and General Practitioner

Education:

2012: Semmelweis University, Faculty of Dentistry
2015: Specialisation in Dento-alveolar Surgery
DIO Key Doctor
Ethoss Key Opinion Leader
DIO Navi Master Training
Speciality: Dento-alveolar Surgery

Languages: English

“Sport and a healthy lifestyle have always been close to my heart, so I spend my free time road cycling or sailing. For me, sailing is not just about the sport; it’s a way of life. It provides an excellent relaxation both mentally and physically.”

Dr. Ádám Pánczél, General Practitioner

Education:

1998 University of Szeged, Faculty of Medicine
Faculty of Dentistry
2000 Examination in Dental and Oral Diseases
2007 Society for the Advancement of Anaesthesia in Dentistry (SAAD) National Course in Conscious Sedation, London, UK
2007-2008 Multi-System Implantology Certificate Course, Mr. T.C. Ucer, Trafford General Hospital, Manchester, UK – 1-year theoretical and hands-on course, UK
2008 2-year course at the Royal College of Surgeons of England Diploma in Implantology, UK
2009 Endodontic Fundamentals, University of Birmingham, Dental School, Postgraduate Office, Mr. Mike Waplington, Endodontist Specialist, UK
2009 Advanced Endodontic Course, Birmingham School of Dentistry, Postgraduate Centre, Mr. Mike Waplington, and Mr. A McRobert, Endodontist Specialists, UK
2013 Arcus Digma
Regular annual training

Specialty: Prosthodontics, fixed and removable replacements, complete dental rehabilitation with Arcus Digma digital measurement, dento-alveolar surgery

Languages: English

I spend my free time with my wife and three beautiful children.

“I believe in two things. One is family, and the other is persistent, hard work, after which I can say that I have done everything possible to maintain and improve the physical and mental health of my patients.”

Dr Bálint Török, Periodontist

Education:

2007: Semmelweis University, Faculty of Dentistry (summa cum laude)
2010: Postgraduate Specialisation
2010: Specialist in Periodontology
Ongoing: Regular annual further training courses
Speciality: Periodontology

Languages: English, German

“At university, I finished top of my class and later obtained an ‘excellent’ qualification during my postgraduate specialisation. I continually engage in both national and international further training courses to enhance and maintain my knowledge.

In my free time, I prefer spending time with my wife, who is also a dentist, and our son Áron. Additionally, I have a passion for running and exploring new places, whether it’s during a pleasant hike, as these activities help rejuvenate me and keep my life balanced. Movement plays a central role in my life; I am a regular runner and have completed half marathons 60 times.”

Dr. Cristian Pilihaci, Oral Surgeon and Implantologist

Education:

1986: Victor Babes University of Medicine and Pharmacy, Timișoara
1988: Târgu Mureș University of Medicine and Pharmacy, Dentistry Department
1992: Dentistry Specialisation Exam
2012: Conservative Dentistry and Prosthodontics Specialisation Exam
2011: Arcus Digma
Ongoing: Regular annual further training courses
Speciality: Cosmetic Dentistry, Implantology

Languages: Romanian, English, French

“My passion for the profession is not only reflected in my work but also in my personal life. I am proud to say that both my children now practice as dentists. In my free time, I enjoy hiking, mountain climbing, and skiing. However, my greatest joy comes from spending time with my grandchildren.”

Dr. Iván Solymosi, General Practitioner

Education:

2000: Semmelweis University, Faculty of Dentistry
2002: Dental and Oral Diseases Specialisation Exam
2011: Smylist Smile Design Course
2011: Arcus Digma Training
2012: Examination in Conservative Dentistry and Prosthodontics
2013, 2015, 2017: "Competence in Esthetics" Aesthetic Dentistry Further Training
Ongoing: Regular annual further training courses
Speciality: Cosmetic Dentistry, Bite Correction with Arcus Digma Digital Measurement

Languages: English, German

“I enjoy cycling and swimming. Whenever time permits, I love to visit museums, galleries, and go to the cinema.”

Dr. Balázs Vass, General Practitioner

Education:

1999: Semmelweis University, Faculty of Dentistry
2001: Dental and Oral Diseases Specialisation Exam
2011: Arcus Digma
2012: Examination in Conservative Dentistry and Prosthodontics
Ongoing: Regular annual further training courses
Speciality: Fixed and Removable Dental Prosthetics, Complete Rehabilitation

Languages: English, German

“Outside of my work, my wife, children, and I particularly enjoy spending our time by the water. The closeness of nature is very calming and relaxing for all of us.”

Dr. András Zsendovits General Practitioner

Education:

1992: Semmelweis University, Faculty of Dentistry
1995: Dental and Oral Diseases Specialisation Exam
1996: Dento-alveolar Surgery Training
2012: Examination in Conservative Dentistry and Prosthodontics
2011: Arcus Digma
Ongoing: Regular annual further training courses
Speciality: Dental Prosthesis, Cosmetic Dentistry

Languages: English

“The most important standards for me are patient satisfaction and the utmost precision in my work.”

Contact us

To schedule an appointment or consultation please fill the form and we’ll get back to you as soon as possible. Alternatively, you are welcome to give us a call or send us an email and we’ll be happy to answer all your questions

Dr. Attila Lesti, General Practitioner

Education:

1999: Semmelweis University, Faculty of Dentistry
2001: Dental and Oral Diseases Specialisation Exam
2005: Examination in Conservative Dentistry and Prosthodontics
2018: Postgraduate Diploma of Dental Studies (Cardiff, United Kingdom)
2017: Straumann Implant Course
2018: CBCT Masterclass
Ongoing: Regular annual further training courses
Speciality: Prosthodontics, Dental Surgery (minor oral surgical procedures)

Languages: English

“From 2007 to 2019, I applied my dental expertise in Cardiff, United Kingdom. Since returning home, I’ve been utilising the knowledge I acquired at Kreativ Dental. As a proud father, I spend a significant portion of my free time with my family. Additionally, I’m heavily into sports, particularly running and swimming.”

Dr. Ádám Vad, General Practitioner

Education:

2007: Szeged University, Faculty of Dentistry
2013: Membership of ITI Danish Section (International Implantology Society)
2018: Straumann Implant Course
Ongoing: Regular annual further training courses
Speciality: General Dentistry, Dento-alveolar Surgery

Languages: Danish, English

“I chose this profession because it’s centred around people, is rooted in a desire to help, and because it’s manual, allowing me to create beautiful work. For me, it’s essential to be empathetic towards my patients. Above all, my most important professional and personal values are authenticity and quality.”